
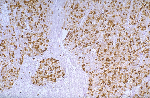
| Here is a MIB-1 immunoperoxidase stain in a breast carcinoma. Note the nuclear staining in the tumor cells. MIB-1 (Ki-67) is a marker for proliferation, indicative of an actively expanding cell population. The high degree of positivity in these tumor cell nuclei (over half are dark brown) is indicative of a high rate of tumor cell proliferation. In general, breast cancers with a low MIB-1 proliferation index have a better prognosis and are unlikely to have lymph node metastases. However, breast cancers with a high MIB-1 proliferation index have a worse prognosis. |