
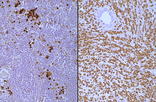
| In the left panel is a reactive lymphoid population with a few proliferation centers with clusters of MIB-1 positive lymphocytes, but less than 30% of the cells are staining. In the right panel, nearly the entire lymphoid population stains for MIB-1 in a malignant lymphoma. |