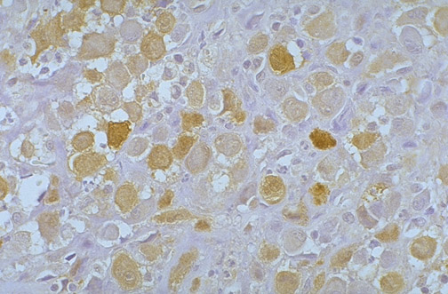
This eosinophilic granuloma of bone contains large oval to round macrophages that mark with S-100 in their cytoplasm, indicative that they are Langerhans cells.