
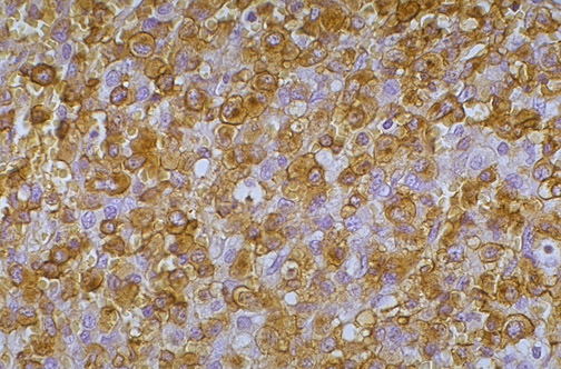
| This large cell lymphoma demonstrates positive immunoperoxidase staining with antibody to p80 (NPM/ALK), which is a marker that is activated by the t(2;5) translocation seen in some anaplastic large cell lymphomas that occur in younger patients with longer survival. |