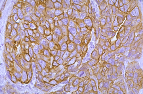
CK-7 is a cytokeratin found in carcinomas. Immunoperoxidase staining with various cytokeratins is useful for distinguishing different types of carcinomas. Seen here is CK-7 staining of an ovarian carcinoma.