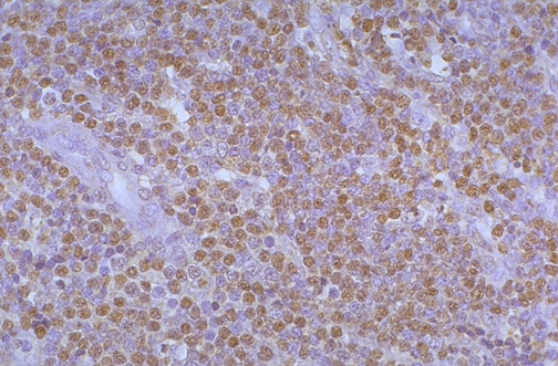
Here is an example of immunoperoxidase staining with antibody to tDT (terminal deoxyribonucleotidyl transferase, a DNA polymerase). This is an enzyme that is a marker for acute lymphocytic leukemia.