
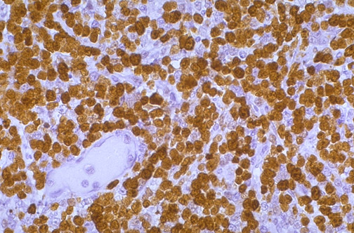
| DNA topoisomerase II is a nuclear enzyme which untangles DNA at the end of mitosis. Chemotherapy agents that target topoisomerase II freeze the enzyme as it is cutting DNA strands, leading to DNA strand breakage and cell death. Resistant cells in culture show alterations in the topoisomerase II enzyme. |