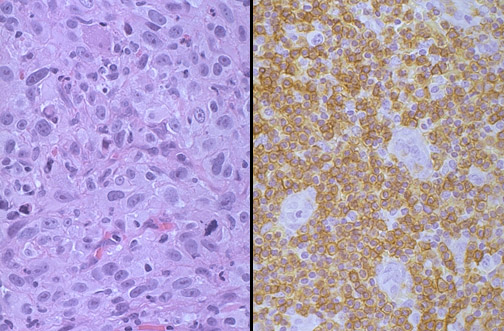
This poorly differentiated neoplasm seen with H&E staining at the left is found to be a T-cell lymphoma based upon immunoperoxidase staining with antibody to CD-45RO at the right.