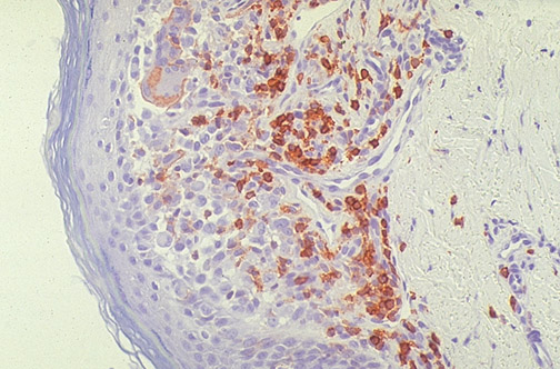
The mast cells within this lesion of urticaria pigmentosa in the dermis of the skin shown here stain positively with antibody to CD-68.