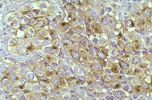
The neoplastic cells shown here stain positively with HMB-45, suggesting that the primary neoplasm is a melanoma.