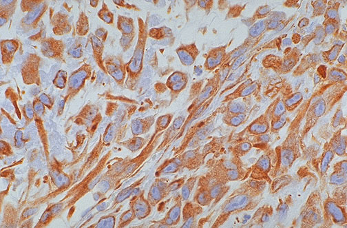
Positive staining in the cytoplasm of these neoplastic cells at high magnification with antibody to vimentin suggests that this is a sarcoma.