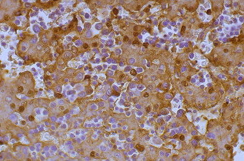
This section of normal fetal liver demonstrates staining of hepatocytes for alpha-fetoprotein.