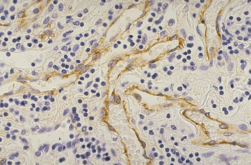
This section of normal lymph node demonstrates endothelial staining of vascular spaces with factor VIII.