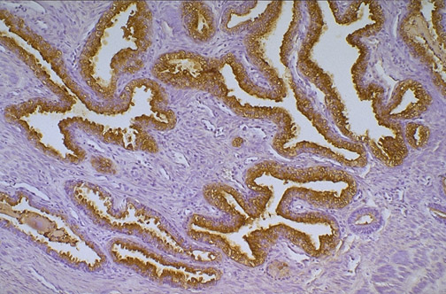
This section of normal prostate reveals marked prostatic acid phosphatase (PAP) activity in the glands.