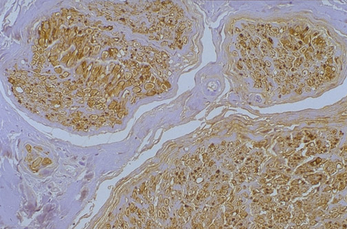
The cross section of normal peripheral nerve is markedly positive for S-100, a protein marker for cells of neural origin.