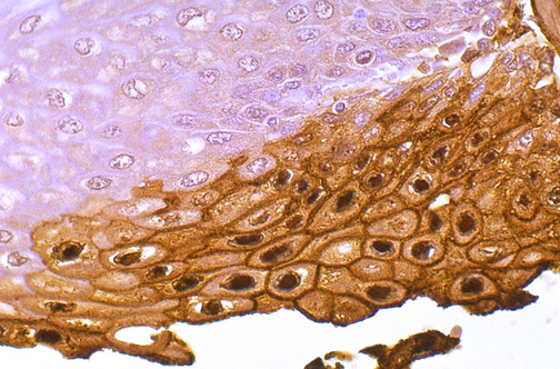
The epithelial cell nuclei of the skin are markedly positive for herpes simplex virus (HSV).