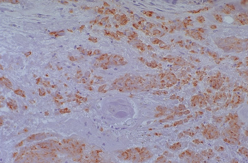
Perineural invasion by metastatic melanoma is highlighted by staining with HMB-45.