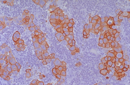
Metastatic melanoma is highlighted by staining with HMB-45 in this lymph node.