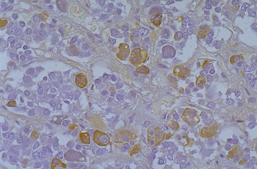
There are cells seen here in normal adenohypophysis that stain for human growth hormone.