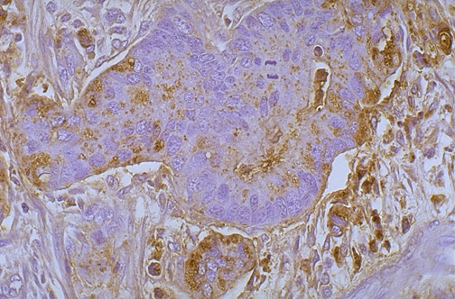
Carcinoembryonic antigen (CEA) positivity is marked in the neoplastic cells of this colonic adenocarcinoma.