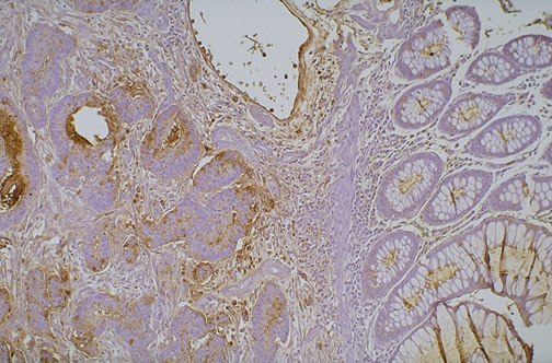
Carcinoembryonic antigen (CEA) positivity is marked in the neoplastic cells of the adenocarcinoma at the left, below the remaining normal colonic mucosa at the right, which has normal cells expressing little CEA.