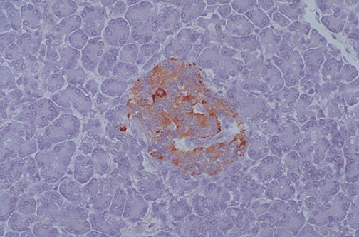
Chromogranin positive cells appear in an islet of Langerhans in the pancreas, with surrounding negatively staining acinar cells. Chromogranin is a marker for cells with neuroendocrine differentiation.