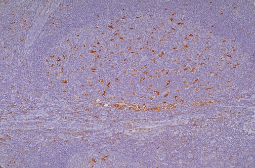
Scattered CD-68 positive cells appear in a follicular center as well as the interfollicular zone. CD-68 will also mark myeloid cells and mast cells. It will mark some follicular lymphomas.