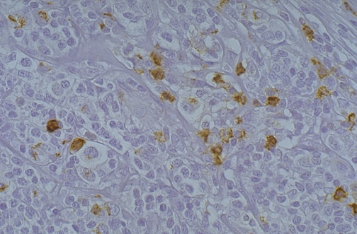
Scattered CD-15 positive cells appear in a non-Hodgkin's lymphoma. CD-15 also marks myeloid cells, but is best known as a marker for Reed-Sternberg and lacunar cells in Hodgkin's disease.