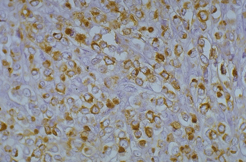
CA-125 is a marker for ovarian carcinomas, with cytoplasmic staining as seen in these neoplastic cells.