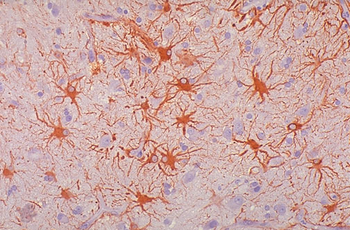
Processes can be seen with glial fibrillary acidic protein (GFAP) stain of normal brain.