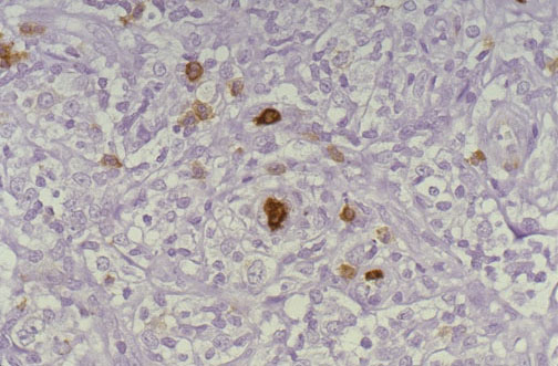
Reed-Sternberg and lacunar cells can be identified in Hodgkin's disease with a CD-15 stain, seen here at high power.