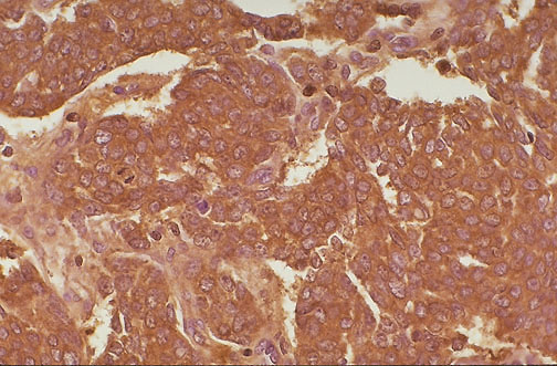
Cathepsin D positive breast carcinoma, medium power microscopic. Note the cytoplasmic staining in the tumor cells.