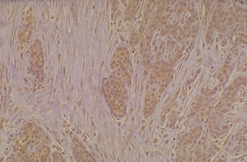
This is a parathyroid carcinoma seen at medium power with nests of not very pleomorphic cells that demonstrate positive immunoperoxidase staining with antibody to parathormone.