
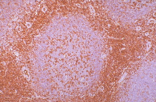
| The nature of the cell population and function of a lymph node is shown here with an immunoperoxidase stain for CD45 RO, a T cell marker. Note the larger number of T cells staining with the red-brown reaction product around the germinal center of a follicle, with additional T cells extending into the paracortex. |