
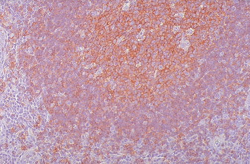
| The nature of the cell population and function of a lymph node is shown here with an immunoperoxidase stain for CD20, a B cell marker. Note the larger number of B cells staining with the red-brown reaction product in the germinal center of a follicle at the upper right center, with additional B cells scattered around. |