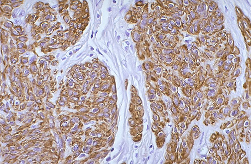
Actin positive desmoid, high power microscopic.