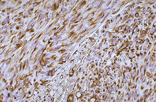
Vimentin positive desmoid, high power microscopic.