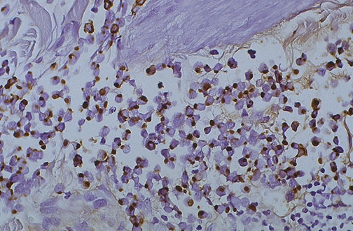
This is an AE-1 positive Merkel cell carcinoma of skin at high power. AE-1 is a cytokeratin marker for carcinomas.