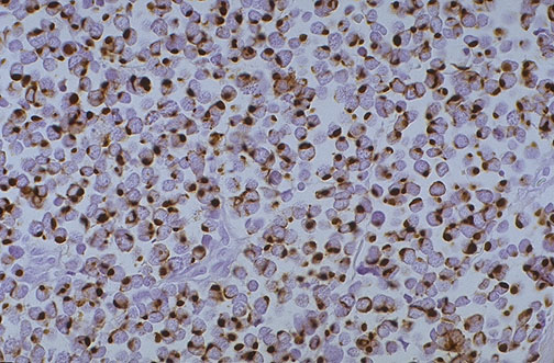
CAM 5,2 is an antibody with specificity for cytokeratins 8 and 18. It is shown here with positive staining of a Merkel cell carcinoma of the skin at high power.