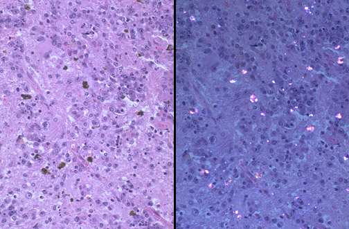
On the left with H&E staining black mercuric chloride precipitate is seen in this lymphoma fixed in B-5 and not properly dezenkerized. This precipitate is seen on the right under polarized light microscopy.