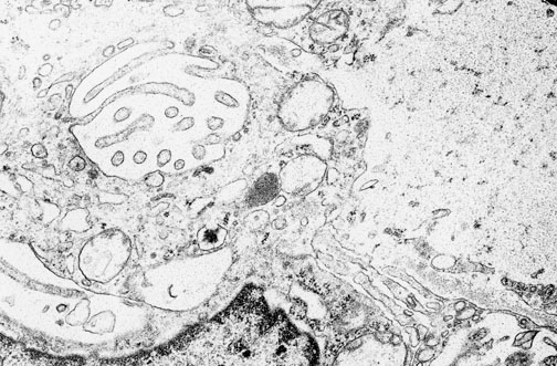
In this electron micrograph is an intracytoplasmic lumen in a cell from a metastatic carcinoma of breast.