
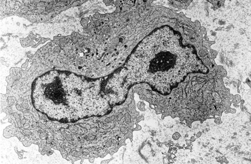
| A macrophage has abundant cytoplasm and an oblong nucleus. The macrophage is involved with phagocytosis. Macrophages function as the "clean-up crew" in inflammatory reactions to remove devitalized and unwanted cells, tissues, infectious agents, and foreign material. |