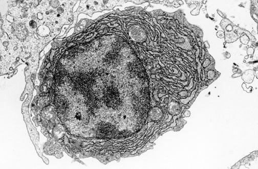
A plasma cell has prominent cytoplasmic smooth
endoplasmic reticulum
, an eccentrically placed
nucleus
with prominent radially arranged chromatin, and a prominent perinuclear Golgi apparatus (not seen in this plane of sectioning).