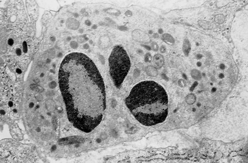
The neutrophil is a granulocyte that has a multilobed nucleus (average 3 to 4 lobes) and prominent cytoplasmic granules which are the lysosomes containing enzymes released when the neutrophil is recruited into an inflammatory reaction.