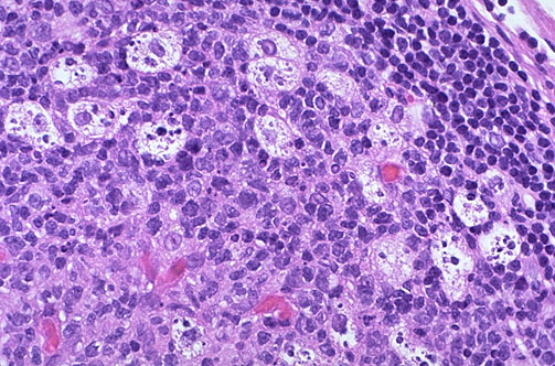
At high magnification, the germinal center in this reactive lymph node follicle has prominent macrophages with irregular cellular debris (so-called
"tingible body macrophages"
). Blood vessels are also more prominent.