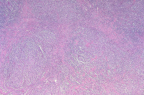
This is Hodgkin lymphoma, nodular sclerosis type. Note the bands of pink collagenous tissue dividing the field in this lymph node.