
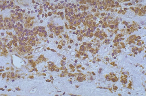
| Following organ transplantation, particularly for heart, but also to a lesser extent with kidney and bone marrow, anti-rejection therapy with immunosuppressive drugs may promote an expansion of Epstein-Barr virus (EBV) infected T-cells, seen here with immunohistochemical staining for EBV. This is a post-transplantation lymphoproliferative disorder (PTLD), which acts like a lymphoma, but will recede when immunosuppression is diminished, if possible. |
![]() |