
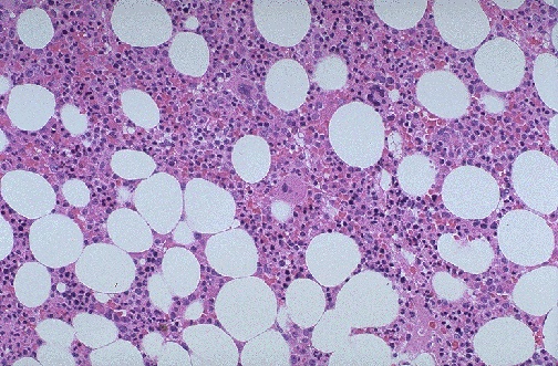
| This is the appearance of normal bone marrow at medium magnification, with cellular marrow and adipose tissue. The large multinucleated cells are megakaryocytes. The erythroid islands and granulocytic precursors form the bulk of the cellular component. This marrow is taken from the posterior iliac crest in a middle aged person, so it is about 50% cellular, with steatocytes admixed with the marrow elements. |
![]() |