
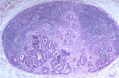
| Seen here are neoplastic glandular configurations representing metastatic adenocarcinoma. The nodes draining from the primary site of a carcinoma are most commonly involved, but distal nodal groups may be involved as well. Similar to lymphoma, metastases produce firm, painless enlargement of the lymph nodes. |
![]() |