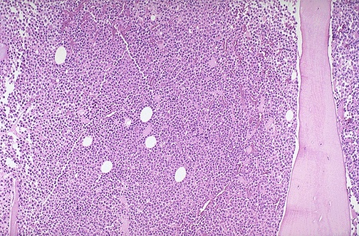
At low power, the abnormal plasma cells of multiple myeloma fill the marrow.