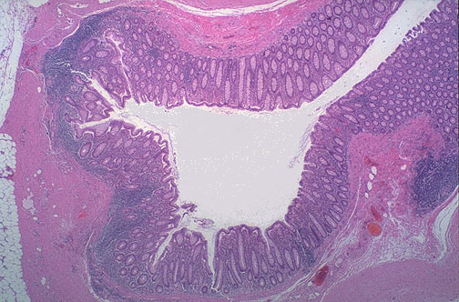
At low magnification, a colonic diverticulum has a central lumen with surrounding mucosa, while the wall (lacking a muscularis) is attenuated. The narrow neck of the diverticulum may become eroded.