
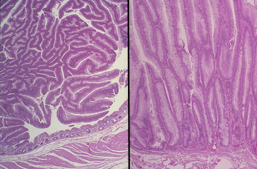
| Microscopically, a villous adenoma is shown at its edge on the left, and projecting above the basement membrane at the right. The cauliflower-like appearance is due to the elongated glandular structures covered by dysplastic epithelium. Though villous adenomas are less common than adenomatous polyps, they are much more likely to harbour invasive carcinoma in them (about 40% of villous adenomas). |
![]() |