
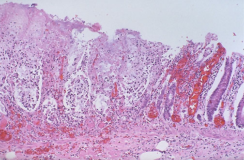
| At higher magnification with more advanced necrosis, the small intestinal mucosa shows hemorrhage with acute inflammation in this case of ischemic enteritis. In the colonoscopic view below of a similar process in the colon that is advanced, there is tan to yellow exudate overlying the erythematous mucosa. |
![]() |