
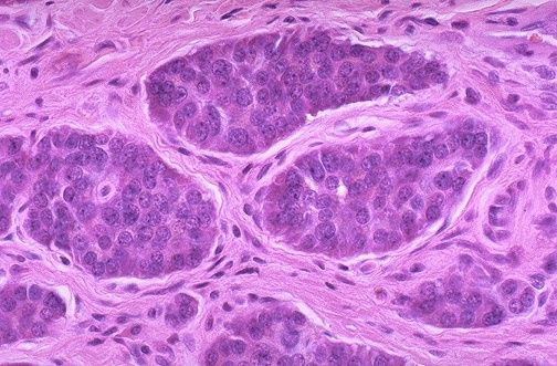
| At high magnification, the nests of carcinoid tumor have a typical endocrine appearance with small round cells having small round nuclei and pink to pale blue cytoplasm. Rarely, a malignant carcinoid tumor can occur as a large bulky mass. Metastatic carcinoid to the liver can rarely result in the carcinoid syndrome. |
![]() |